Parodontitis in Dortmund - Früherkennung und Behandlung
Früherkennung, Therapie und Heilung von Parodontalerkrankungen gehören zu unseren Fachgebieten. Frau Dr. Eckardt ist Mitglied zahlreicher parodontologischer Fachgesellschaften und hat vor einigen Jahren den Titel Master of Science im Fach Parodontologie erhalten.
Was ist eine Parodontitis?
Eine Parodontitis – auch Parodontose genannt – ist eine chronische, bakterielle Entzündung des Zahnbetts. Sie tritt schubweise auf und greift den Kieferknochen an, der für den Halt des Zahns sorgt. Ohne rechtzeitige Erkennung und Behandlung, können sich Zähne lockern und lösen, selbst wenn sie frei von Karies und Füllungen sind. Eine schwere Parodontitis mit besonders aggressiven Bakterien kann sich sogar negativ auf Herz- und Kreislauferkrankungen auswirken.
Starkes Rauchen, Diabetes sowie eine allgemeine Abwehrschwäche können eine Parodontitis begünstigen.
Parodontitis vermeiden
Gründliche Mundhygiene und eine professionelle Betreuung durch Ihren Zahnarzt können Gingivitis und Parodontitis vorbeugen. Um die Bildung schädlicher, bakterieller Plaque zu vermeiden, empfehlen wir:
- Zweimal tägliche, gründliche Pflege der Zähne mit Zahnbürste und Zahnpasta
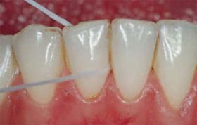
- Tägliche Reinigung der Zahnzwischenräume mit Zahnseide oder Zwischenraumbürsten
- Regelmäßige Zahnarztbesuche
Wie wird Parodontitis behandelt?
Die Parodontitistherapie hat zwei Hauptziele: Das Stoppen der Entzündung und der dauerhafte Erhalt des zahnstützenden Gewebes.
Eine bestehende Parodontitis, die frühzeitig erkannt wird, kann durch die systematische und vollständige Entfernung des bakteriellen Plaques zum Stillstand gebracht werden. Ist die Krankheit weiter fortgeschritten, sind eventuell chirurgische Eingriffe nötig.
In beiden Fällen ist eine regelmäßige und dauerhafte Nachsorge durch den Zahnarzt sowie eine gute Mundhygiene wichtig, um Zähne und Zahnfleisch auch weiterhin gesund zu erhalten.








